Возбудитель сибирской язвы, болезни, убивающей за 48 часов, передается от животного к человеку. Инфекция относится к особо опасной, использовалась для создания бактериологического оружия. У сибирской язвы богатая история
Болезненные, приносящие ощутимый дискомфорт язвы в полости рта возникают вследствие механического повреждения слизистой и последующего воспаления или как симптом системного заболевания. Возникновение дефектов слизистых в ротовой полости может
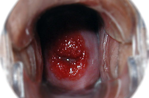
Установление диагноза эктопии при осмотре у гинеколога ставит перед женщиной вопрос о лечении. Сомнение, нужно ли прижигать эрозию, основано на предубеждении о болезненности и вреде процедуры. Отсрочка лечения
Многие женщины, отказывающиеся лечиться, не вполне осознают последствия эрозии шейки матки, самыми безобидными из которых являются воспаления внутренних половых органов. Нарушения формирования эпителиального слоя шейки матки называют общим
В быстро меняющемся мире онлайн-развлечений индустрия мобильных казино стала свидетелем замечательной эволюции, отмеченной инновационными тенденциями, которые очаровывают энтузиастов по всему миру. Поскольку технологии продолжают развиваться, мы находимся в
