Поражение слизистой желудка, не проникающее в нижний, мускульный слой органа, называется эрозией. Дефект обычно заживает без каких-либо значительных последствий – рубцы и шрамы на слизистой не образуются. Эрозия
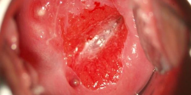
Эрозия шейки матки проявляется нарушением функционирования и разрушением верхнего слоя эпителия, которое можно увидеть только при гинекологическом осмотре Дефект эпителия шейки матки выявляется при профилактическом осмотре или после
Повреждения эпителия шейки матки диагностируется гинекологом у каждой второй пациентки, но почему появляется эрозия, женщине никто не объясняет. Реакция женщины, которая услышала диагноз «эрозия» колеблется от явного страха
Методы лечения эрозии шейки матки направлены на восстановление покровного слоя эпителия шейки матки, нормализации ее функционирования. Эрозия шейки матки – это нарушение целостности ее поверхностного эпителиального слоя, при
Нарушения в регулировании деятельности слизистой желудка приводит к повреждению ее верхнего слоя. Эрозия желудка, что это такое и как это заболевание лечить – такие вопросы все чаще беспокоят
